Initial Evaluation

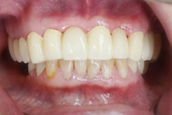
Final Results

Full mouth reconstruction refers to a complete overhaul of the mouth- usually when all of or most of the teeth in the mouth need treatment. Whether it's due to age, bad habits, trauma or genetic predispositions, don't lose hope! There's always comprehensive full mouth reconstructive dentistry to save your smile. The best way to restore any smile - the perfect combination whiter teeth, straighter smile, and better cheek to jaw ratio is a comprehensive treatment. Although it may take some time, the results will speak for themselves.


Dr. Lee's philosophy when it comes to a full mouth reconstruction is to make every smile not only beautiful, but also natural looking. She works to improve on what is already present and to build up what is missing. This often leads to longer lasting results. Prosthetic teeth, despite their benefits, will never be as strong or durable as healthy natural teeth. Natural teeth that can be saved will be treated and maintained. Over the past 13 years Dr. Lee has been practicing, her primary focus has been on full mouth reconstructions. She has worked on several cases with high degrees of success. Take a look at our gallery for more cases.


What can reconstructive dentistry do for you?
- change the shape of your profile 

- restore decayed teeth

- correct discoloration/whiten teeth

- protect and strengthen remaining natural teeth

- correct missing teeth or unsightly gaps

- re-align jaw

- straighten appearance crooked teeth

- lessen gum line  

- adjust over/underbite 


Your teeth will look like it did decades ago. Maybe even better! 



The Procedure:Because every patient's dental health and requirement is different, the first step is always a full evaluation of the remaining teeth and the jawbone. To do this, patients must start with a full mouth x-ray or may need to have a dental CT scan done. A complete treatment plan will then be tailor made specific to each patient's condition. Depending on how much needs to get done, it may take a few years to complete. 


Before You Come In:Please see our individual sections on what you should do before each procedure.   

What You Can Expect Afterwards:As with anything else, it is important now that you've restored your smile to maintain it. Keep brushing regularly, avoid cracking your teeth on hard objects and continue your annual checkups. 

Full Mouth Reconstructive Treatment

Mid-Treatment: Provisional Bridges